コンプレックスを優先するか機能面を優先するか問題。
「美」と「機能」を両立させる場合、時として難しい場合もあるのです。
もともと一般歯科の私が矯正歯科を始めた理由もそこにあります。矯正治療を終えた患者さんが矯正治療を受ける前には無かった不具合(知覚過敏や顎関節症、咬合痛)といった症状が出てしまう場合があり、それを一般歯科が治療するという図式がなかなか成立しないことが多かったのです(もういちど矯正をやり直させて貰う事が困難なため)。
一般矯正が悪いという訳では無くて、患者さんはコンプレックスを解消出来ているので見た目に関するストレスは無いのですが、噛み合わせにとっては、抜歯して欲しくない箇所も抜歯してしまうので、噛み合わせの力を支える事が出来なく成ってしまい、いくつかの不具合が発生してしまう事が多発したのです。
そのため、自分で矯正した方が良いかもしれないと思い10年前開始しました。
矯正治療開始10年経過した今でも患者さんのイメージした審美と実際の歯列の状況を説明した時には隔たりが出てきてしまう事が多々あり、機能面を優先する矯正をするか、コンプレックス解消を優先する矯正をするかでは議論が尽きることはありません。
非常に難しい問題です。
ただ、自分の思うような矯正治療が出来て、口腔内の不具合よりもコンプレックスが解消した方が嬉しいという患者さんも多いので、治療後の不具合の可能性をキチンと理解して納得して頂けるのなら、良いのでは無いかと考える様になりました。
私は機能面(勿論審美もしっかりやります)を重視した矯正しか出来ないので、そういった場合は他の矯正の先生をお尋ねくださいとお願いしています。
一番大事なのは患者さんが納得して治療を受ける事ですからね(笑)
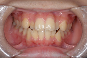
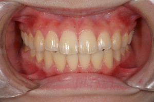
写真は顎関節症状があったため、機能分析し顎関節症の状況を鑑みて矯正を行ったものです(患者さんの承認すみ)。
顎関節症の症状が緩和されました。





最近のコメント